Kazia Therapeutics — GDC-0084 and Cantrixil trials progressing

Kazia Therapeutics (NASDAQ: KZIA)

Last close As at 07/11/2025

0.00 (0.00%)

Market capitalisation

Research: Healthcare

Kazia Therapeutics — GDC-0084 and Cantrixil trials progressing

Kazia Therapeutics has commenced the Phase II program for GDC-0084 in glioblastoma (GDC-0084 was in-licensed from Genentech in 2016). Initial data from the Phase IIa dose optimization component are expected in H119, with a subsequent Phase IIb study expected to read out in 2021. The Phase I study of Cantrixil in ovarian cancer is in the final stages of determining the maximum tolerated dose (MTD). Our valuation range is unchanged at $56m to $101m ($11.10–20.16 per share).

Analyst avatar placeholder

Written by

Healthcare

Kazia Therapeutics

GDC-0084 and Cantrixil trials progressing

FY18 update

Pharma & biotech

19 September 2018

ADR research

Price

$3.38

Market cap

$16m

ADR/Ord conversion ratio 10/1

Net cash ($m) at 30 June 2018

4.6

ADRs in issue

4.8m

ADR code

KZIA

ADR exchange

NASDAQ

Underlying exchange

ASX

Depository

BNY

ADR share price performance

52-week high/low

$6.25

$2.40

Business description

Kazia Therapeutics is an ASX- and NASDAQ-listed biotechnology company. It is developing the PI3K/mTOR inhibitor GDC-0084 for brain cancer and Cantrixil for ovarian cancer. GDC-0084 was in-licensed from Genentech in 2016.

Next events

Cantrixil Phase I MTD identified

September/
October 2018

Cantrixil Phase I efficacy data

H218

GDC-0084 initial data readout

H119

Analysts

Dr Dennis Hulme

+61 (0)2 8249 8345

Juan Pedro Serrate

+44 (0)20 3681 2534

Kazia Therapeutics is a research client of Edison Investment Research Limited

Kazia Therapeutics has commenced the Phase II program for GDC-0084 in glioblastoma (GDC-0084 was in-licensed from Genentech in 2016). Initial data from the Phase IIa dose optimization component are expected in H119, with a subsequent Phase IIb study expected to read out in 2021. The Phase I study of Cantrixil in ovarian cancer is in the final stages of determining the maximum tolerated dose (MTD). Our valuation range is unchanged at $56m to $101m ($11.10–20.16 per share).

Year end

Revenue
(US$m)

PTP
(US$m)

EPADR
($)

DPADR
($)

P/E
(x)

Gross yield
(%)

06/17

6.5

(8.3)

(1.73)

0.0

N/A

N/A

06/18

9.9

(4.8)

(0.95)

0.0

N/A

N/A

06/19e

2.9

(11.1)

(2.26)

0.0

N/A

N/A

06/20e

10.6

(6.5)

(1.29)

0.0

N/A

N/A

Note: Converted at A$1/US$0.76 for the table above and throughout the note.

GDC-0084 dose optimisation Phase IIa underway

Kazia has commenced recruitment in the dose optimization Phase IIa study of its oral PI3K inhibitor GDC-0084 in recently diagnosed glioblastoma (GBM) patients. Dosing and safety data are expected in H119, with preliminary efficacy signals reported in H219. This study will be followed by a randomized Phase IIb trial comparing GDC-0084 to standard temozolomide (TMZ) chemotherapy in GBM patients who are expected to be resistant to TMZ because they have an unmethylated MGMT promotor. Kazia is also investigating opportunities to explore GDC-0084 in additional indications beyond GBM.

Phase I Cantrixil study closing in on MTD

Kazia has tentatively identified the MTD from the Cantrixil ovarian cancer Phase I study, and is enrolling additional patients to more fully understand the safety profile and definitively determine the MTD, in line with standard practice. Once the MTD has been determined, an additional 12-patient expansion cohort will be recruited to explore initial signals of efficacy. Three of the five patients evaluable for efficacy as of June achieved stable disease after two cycles of Cantrixil monotherapy, one of whom subsequently had a partial response to Cantrixil/chemo combo therapy.

Additional funds required

With $4.6m cash at 30 June, an $1.7m R&D rebate receivable in H218 and $2.7m of available-for-sale shares, Kazia is able to fund operations to the end of FY19 at its current cash burn of $570k per month, but would need additional funds if R&D spend rises in line with our forecasts. Longer term, we estimate that it will require additional funds of $15–19m to complete the GDC-0084 Phase IIb trial. A post-Phase I license deal for Cantrixil could provide part of the required funds.

Valuation: $56–101m in two scenarios

Our indicative valuation range is unchanged at $56–101m or $11.10–20.16 per share, under either post-Phase III approval or accelerated approval scenarios for GDC-0084. Rolling forward our DCF model to FY19 has been offset by deferring first revenues from a Cantrixil license deal from FY19 to FY20.

Signs of efficacy in initial Cantrixil data

In June, Kazia released initial data from Part A of its Phase I study of Cantrixil, which is recruiting at five centers in the US and Australia. At that time, eight patients had been dosed in the accelerated dose escalation study. The drug had encountered few dose-limiting toxicities (DLTs) and most dosing cohorts have only required the enrolment of a single patient. The Data Monitoring Committee has recommended that additional patients should be enrolled to more fully understand the safety profile and to definitively determine the MTD, in line with standard practice.

In Phase I studies of cancer drugs, the MTD is typically defined as a dose at which no more than one out of six subjects experiences a DLT. We interpret the announcement to mean that the study had reached a dose level that was not well tolerated (ie where two subjects had experienced DLTs), and so the next-highest dose level is being expanded to six subjects. If no more than one out of six subjects treated at that dose experiences a DLT, then that dose will be declared to be the MTD. Part A of the study is expected to conclude in September or October.

Once the MTD has been determined, Part B of the study will treat an expansion cohort of 12 patients at the MTD to further explore initial signals of efficacy.

Initial signs of efficacy observed

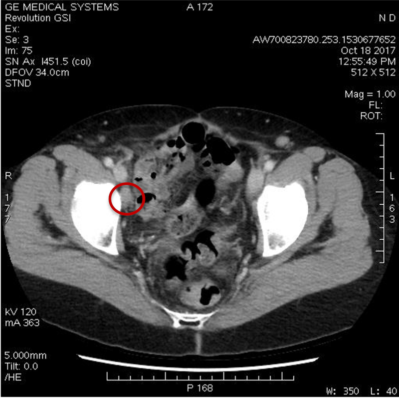
Among the five patients who were evaluable for efficacy as of June, three achieved stable disease after two cycles of Cantrixil monotherapy. One the three subsequently went on to achieve a partial response after being treated with Cantrixil in combination with chemotherapy. Exhibits 1 and 2 show the dramatic reduction in the size of the tumor (circled in red) in the partial responder over the course of the study.

While the number of patients evaluated for efficacy is quite small, it is encouraging to see that four out of five patients with advanced ovarian cancer who had exhausted alternative treatment options have obtained a clinical benefit of either stable disease or a partial response.

Exhibit 1: Tumor seen at baseline in October 2017…

Exhibit 2: …had shrunk markedly by the end of study participation in May 2018

Source: Kazia investor presentation, July 2018

Exhibit 1: Tumor seen at baseline in October 2017…

Exhibit 2: …had shrunk markedly by the end of study participation in May 2018

Source: Kazia investor presentation, July 2018

We assume top-line data from Part B of the study will be available in H219. We model a 37% probability that Kazia will out-license Cantrixil to a pharma partner in FY20 (previously FY19), based on positive Phase I data.

Phase IIa trial of GDC-0084 in GBM underway

Kazia’s lead drug candidate is GDC-0084, an orally administered small molecule phosphoinositide 3-kinase (PI3K) inhibitor that targets an important growth signaling pathway in cancer cells, which it in-licensed from Genentech in October 2016. The drug was specifically developed to cross the blood-brain barrier and target GBM, which is an aggressive brain cancer with poor patient survival and for which there are few effective therapies.

Genentech conducted a Phase I study of GDC-0084, which identified the MTD as 45mg/day. It conducted the study in patients with late-stage brain cancer that had progressed despite one or more previous treatments. The study confirmed that the drug readily crosses the blood-brain barrier and showed that it inhibited tumor growth in a dose-dependent fashion.

Kazia initiated a Phase II trial program for GDC-0084 in March in patients with recently diagnosed GBM who have undergone surgery to remove the bulk of the tumor and a course of chemoradiotherapy to further reduce the tumor burden.

The first component of the Phase II program is an open-label Phase IIa study to explore whether newly diagnosed (first-line) GBM patients, who are in better overall health, are able to tolerate higher doses of the drug. The Phase IIa study will also seek preliminary signals of efficacy.

The Phase IIa study will initially treat patients at 60mg, slightly below the maximum dose that Genentech tested in its study. If the 60mg dose is well tolerated, then the tolerability of a 75mg dose will be explored. On the other hand, if the 60mg dose is not well tolerated, then 45mg will be confirmed as the MTD.

Once the MTD in first-line patients is identified, an expansion cohort of 20 patients will be treated at that dose. These patients will undergo intensive monitoring to better understand the pharmacokinetic and toxicity profile of the drug, before the randomized controlled Phase IIb study commences.

Patient monitoring will also include pharmacodynamic studies to confirm that the drug is having the desired pharmacological effects. These studies will likely include FDG-PET magnetic resonance imaging studies to determine whether the drug is affecting tumor metabolic activity in patients who have detectable tumors.

Initial dosing and safety data is expected to report in H119, with preliminary efficacy signals and additional safety data reading out in H219.

Randomised GDC-0084 Phase IIb to follow

The randomized component of the Phase II study will compare maintenance therapy with GDC-0084 vs standard-of-care TMZ chemotherapy (Exhibit 3). The study will be conducted in recently diagnosed GBM patients who have undergone standard therapy of surgery to remove the bulk of the tumor and a course radiation therapy (XRT) combined with TMZ. After completing XRT, 228 patients will be randomized to receive maintenance therapy with either GDC-0084 or TMZ to treat residual tumor cells and delay recurrence of the disease. The study will target the 61% of GBM patients where tumor cells have an unmethylated O6-methylguanine methyltransferase (MGMT) promoter, as this patient population receives only minimal benefit from treatment with TMZ and is in urgent need of more effective therapies.

The key efficacy end points for the study will be progression-free survival (PFS) and overall survival. Top-line PFS data are expected to read out in H221.

Exhibit 3: GDC-0084 randomized controlled Phase IIb study design

Source: Kazia investor presentation, July 2018

Accelerated approval could see GDC-0084 launched in 2023

As there are no effective therapies for GBM patients whose tumor cells have an unmethylated MGMT promoter, if the Phase II trial shows a meaningful improvement in PFS or overall survival then there is a good prospect that it could be eligible to seek accelerated approval based on the Phase II data, in our view. We estimate that under a potential scenario where GDC-0084 gains accelerated approval in GBM after demonstrating a statistically significant and clinically meaningful improvement in PFS, it could potentially achieve a market launch in 2023.

On the other hand, under an alternative scenario where a confirmatory Phase III trial is required before filing for approval, we would expect a potential market launch in 2026.

We value Kazia at $101m under an accelerated approval scenario and $56m for a post-Phase III launch of GDC-0084 in 2026.

Potential funding requirement in FY19

Kazia had $4.6m cash at 30 June and expects to receive an $1.7m R&D rebate in H218. These funds, combined with $2.7m of available-for-sale Noxopharm shares, would allow it to fund operations to the end of FY19 at its current cash burn of $570k per month. However, if R&D expenditure increases in line with our forecasts to $9.3m in FY19 (vs $7.4m in FY18), then it would require additional funds before the end of FY19.

Looking forward, we estimate that additional funds in the order of $15–19m will be required to complete the GDC-0084 Phase IIb trial. Part of these funds could be met by upfront payments if Cantrixil is out-licensed at the completion of the Phase I trial – we model a $20m upfront payment (before risk adjustment) in FY20. Borrowing secured against the Noxopharm shareholding, or sale of the Noxopharm shares, is another potential source of funds.

Exhibit 4: Financial summary

 US$000s

2016

2017

2018

2019e

2020e

Year-end 30 June

AASB

AASB

AASB

AASB

AASB

PROFIT & LOSS

Sales, royalties, milestones

0

0

0

0

7,030

Other (includes R&D tax rebate)

2,786

6,508

9,872

2,947

3,606

Revenue

 

 

2,786

6,508

9,872

2,947

10,636

R&D expenses

(7,519)

(8,463)

(7,428)

(9,268)

(11,800)

SG&A expenses

(3,301)

(5,761)

(6,181)

(3,756)

(4,307)

Other

0

0

0

0

0

EBITDA

 

 

(8,034)

(7,716)

(3,737)

(10,077)

(5,471)

Operating Profit (before GW and except.)

 

 

(8,110)

(7,806)

(3,897)

(10,078)

(5,487)

Intangible Amortization

(1,003)

(62)

(1,016)

(1,108)

(997)

Exceptionals

(432)

0

0

0

0

Operating Profit

(9,546)

(7,868)

(4,912)

(11,186)

(6,484)

Net Interest

308

(392)

91

45

4

Profit Before Tax (norm)

 

 

(8,805)

(8,260)

(4,822)

(11,140)

(6,479)

Profit Before Tax (reported)

 

 

(9,237)

(8,260)

(4,822)

(11,140)

(6,479)

Tax benefit

0

151

232

0

0

Profit After Tax (norm)

(8,805)

(8,109)

(4,590)

(11,140)

(6,479)

Profit After Tax (reported)

(9,237)

(8,109)

(4,590)

(11,140)

(6,479)

Average Number of Shares Outstanding (m)

42.7

46.8

48.4

49.3

50.3

Average Number of ADRs Outstanding (m)

4.27

4.68

4.84

4.93

5.03

EPS - normalized (c)

 

 

(21.61)

(17.33)

(9.49)

(22.58)

(12.89)

EPS - diluted

 

 

(21.61)

(17.33)

(9.49)

(22.58)

(12.89)

Dividend per share (c)

0.0

0.0

0.0

0.0

0.0

Earnings per ADR - normalized (c)

(216.1)

(173.3)

(94.9)

(225.8)

(128.9)

Earnings per ADR - diluted (c)

(216.1)

(173.3)

(94.9)

(225.8)

(128.9)

Dividend per ADR (c)

0.0

0.0

0.0

0.0

0.0

BALANCE SHEET

Fixed Assets

 

 

1,084

12,487

14,376

13,344

12,407

Intangible Assets

625

12,098

11,080

9,972

8,975

Tangible Assets

450

372

1

77

137

Investments

10

17

3,295

3,295

3,295

Current Assets

 

 

25,908

14,805

7,037

4,113

5,098

Stocks

0

0

0

0

0

Debtors

151

3,240

1,927

3,080

3,736

Cash

25,424

10,986

4,527

449

779

Other

333

580

584

584

584

Current Liabilities

 

 

(1,088)

(4,092)

(2,955)

(3,740)

(3,858)

Creditors

(988)

(1,423)

(1,571)

(2,356)

(2,474)

Short term borrowings

0

0

0

0

0

Other

(100)

(2,669)

(1,384)

(1,384)

(1,384)

Long Term Liabilities

 

 

(117)

(3,943)

(3,835)

(9,915)

(15,995)

Long term borrowings

0

0

0

(6,080)

(12,160)

Other long term liabilities

(117)

(3,943)

(3,835)

(3,835)

(3,835)

Net Assets

 

 

25,788

19,257

14,624

3,802

(2,347)

CASH FLOW

Operating Cash Flow

 

 

(9,411)

(8,879)

(6,673)

(10,127)

(5,679)

Net Interest

308

189

91

45

4

Tax

0

0

0

0

0

Capex

(399)

(15)

0

(76)

(76)

Acquisitions/disposals

2

(5,394)

114

0

0

Equity Financing

594

(13)

0

0

0

Dividends

0

0

0

0

0

Other

0

0

0

0

0

Net Cash Flow

(8,906)

(14,113)

(6,469)

(10,158)

(5,750)

Opening net debt/(cash)

 

 

(33,722)

(25,424)

(10,986)

(4,527)

5,631

HP finance leases initiated

0

0

0

0

0

Other

608

(326)

10

0

(0)

Closing net debt/(cash)

 

 

(25,424)

(10,986)

(4,527)

5,631

11,381

Source: Kazia Therapeutics accounts, Edison Investment Research. Note: Solely for the convenience of the reader the financial summary table has been converted at a rate of US$0.76 to A$1. Novogen reports statutory accounts in Australian dollars. These translations should not be considered representations that any such amounts have been or could be converted into US dollars at the assumed conversion rate.

Edison is an investment research and advisory company, with offices in North America, Europe, the Middle East and AsiaPac. The heart of Edison is our world-renowned equity research platform and deep multi-sector expertise. At Edison Investment Research, our research is widely read by international investors, advisers and stakeholders. Edison Advisors leverages our core research platform to provide differentiated services including investor relations and strategic consulting. Edison is authorised and regulated by the Financial Conduct Authority. Edison Investment Research (NZ) Limited (Edison NZ) is the New Zealand subsidiary of Edison. Edison NZ is registered on the New Zealand Financial Service Providers Register (FSP number 247505) and is registered to provide wholesale and/or generic financial adviser services only. Edison Investment Research Inc (Edison US) is the US subsidiary of Edison and is regulated by the Securities and Exchange Commission. Edison Investment Research Limited (Edison Aus) [46085869] is the Australian subsidiary of Edison. Edison Germany is a branch entity of Edison Investment Research Limited [4794244]. www.edisongroup.com

DISCLAIMER
Copyright 2018 Edison Investment Research Limited. All rights reserved. This report has been commissioned by Kazia Therapeutics and prepared and issued by Edison for publication globally. All information used in the publication of this report has been compiled from publicly available sources that are believed to be reliable, however we do not guarantee the accuracy or completeness of this report. Opinions contained in this report represent those of the research department of Edison at the time of publication. The securities described in the Investment Research may not be eligible for sale in all jurisdictions or to certain categories of investors. This research is issued in Australia by Edison Investment Research Pty Ltd (Corporate Authorised Representative (1252501) of Myonlineadvisers Pty Ltd (AFSL: 427484)) and any access to it, is intended only for "wholesale clients" within the meaning of the Corporations Act 2001 of Australia. The Investment Research is distributed in the United States by Edison US to major US institutional investors only. Edison US is registered as an investment adviser with the Securities and Exchange Commission. Edison US relies upon the "publishers' exclusion" from the definition of investment adviser under Section 202(a)(11) of the Investment Advisers Act of 1940 and corresponding state securities laws. As such, Edison does not offer or provide personalised advice. We publish information about companies in which we believe our readers may be interested and this information reflects our sincere opinions. The information that we provide or that is derived from our website is not intended to be, and should not be construed in any manner whatsoever as, personalised advice. Also, our website and the information provided by us should not be construed by any subscriber or prospective subscriber as Edison’s solicitation to effect, or attempt to effect, any transaction in a security. The research in this document is intended for New Zealand resident professional financial advisers or brokers (for use in their roles as financial advisers or brokers) and habitual investors who are “wholesale clients” for the purpose of the Financial Advisers Act 2008 (FAA) (as described in sections 5(c) (1)(a), (b) and (c) of the FAA). This is not a solicitation or inducement to buy, sell, subscribe, or underwrite any securities mentioned or in the topic of this document. This document is provided for information purposes only and should not be construed as an offer or solicitation for investment in any securities mentioned or in the topic of this document. A marketing communication under FCA Rules, this document has not been prepared in accordance with the legal requirements designed to promote the independence of investment research and is not subject to any prohibition on dealing ahead of the dissemination of investment research.
Edison has a restrictive policy relating to personal dealing. Edison Group does not conduct any investment business and, accordingly, does not itself hold any positions in the securities mentioned in this report. However, the respective directors, officers, employees and contractors of Edison may have a position in any or related securities mentioned in this report. Edison or its affiliates may perform services or solicit business from any of the companies mentioned in this report. The value of securities mentioned in this report can fall as well as rise and are subject to large and sudden swings. In addition it may be difficult or not possible to buy, sell or obtain accurate information about the value of securities mentioned in this report. Past performance is not necessarily a guide to future performance. Forward-looking information or statements in this report contain information that is based on assumptions, forecasts of future results, estimates of amounts not yet determinable, and therefore involve known and unknown risks, uncertainties and other factors which may cause the actual results, performance or achievements of their subject matter to be materially different from current expectations. For the purpose of the FAA, the content of this report is of a general nature, is intended as a source of general information only and is not intended to constitute a recommendation or opinion in relation to acquiring or disposing (including refraining from acquiring or disposing) of securities. The distribution of this document is not a “personalised service” and, to the extent that it contains any financial advice, is intended only as a “class service” provided by Edison within the meaning of the FAA (ie without taking into account the particular financial situation or goals of any person). As such, it should not be relied upon in making an investment decision. To the maximum extent permitted by law, Edison, its affiliates and contractors, and their respective directors, officers and employees will not be liable for any loss or damage arising as a result of reliance being placed on any of the information contained in this report and do not guarantee the returns on investments in the products discussed in this publication. FTSE International Limited (“FTSE”) © FTSE 2018. “FTSE®” is a trade mark of the London Stock Exchange Group companies and is used by FTSE International Limited under license. All rights in the FTSE indices and/or FTSE ratings vest in FTSE and/or its licensors. Neither FTSE nor its licensors accept any liability for any errors or omissions in the FTSE indices and/or FTSE ratings or underlying data. No further distribution of FTSE Data is permitted without FTSE’s express written consent

Frankfurt +49 (0)69 78 8076 960

Schumannstrasse 34b

60325 Frankfurt

Germany

London +44 (0)20 3077 5700

280 High Holborn

London, WC1V 7EE

United Kingdom

New York +1 646 653 7026

295 Madison Avenue, 18th Floor

10017, New York

US

Sydney +61 (0)2 8249 8342

Level 4, 95 Pitt Street

Sydney, NSW 2000

Australia

Frankfurt +49 (0)69 78 8076 960

Schumannstrasse 34b

60325 Frankfurt

Germany

London +44 (0)20 3077 5700

280 High Holborn

London, WC1V 7EE

United Kingdom

New York +1 646 653 7026

295 Madison Avenue, 18th Floor

10017, New York

US

Sydney +61 (0)2 8249 8342

Level 4, 95 Pitt Street

Sydney, NSW 2000

Australia

Edison is an investment research and advisory company, with offices in North America, Europe, the Middle East and AsiaPac. The heart of Edison is our world-renowned equity research platform and deep multi-sector expertise. At Edison Investment Research, our research is widely read by international investors, advisers and stakeholders. Edison Advisors leverages our core research platform to provide differentiated services including investor relations and strategic consulting. Edison is authorised and regulated by the Financial Conduct Authority. Edison Investment Research (NZ) Limited (Edison NZ) is the New Zealand subsidiary of Edison. Edison NZ is registered on the New Zealand Financial Service Providers Register (FSP number 247505) and is registered to provide wholesale and/or generic financial adviser services only. Edison Investment Research Inc (Edison US) is the US subsidiary of Edison and is regulated by the Securities and Exchange Commission. Edison Investment Research Limited (Edison Aus) [46085869] is the Australian subsidiary of Edison. Edison Germany is a branch entity of Edison Investment Research Limited [4794244]. www.edisongroup.com

DISCLAIMER
Copyright 2018 Edison Investment Research Limited. All rights reserved. This report has been commissioned by Kazia Therapeutics and prepared and issued by Edison for publication globally. All information used in the publication of this report has been compiled from publicly available sources that are believed to be reliable, however we do not guarantee the accuracy or completeness of this report. Opinions contained in this report represent those of the research department of Edison at the time of publication. The securities described in the Investment Research may not be eligible for sale in all jurisdictions or to certain categories of investors. This research is issued in Australia by Edison Investment Research Pty Ltd (Corporate Authorised Representative (1252501) of Myonlineadvisers Pty Ltd (AFSL: 427484)) and any access to it, is intended only for "wholesale clients" within the meaning of the Corporations Act 2001 of Australia. The Investment Research is distributed in the United States by Edison US to major US institutional investors only. Edison US is registered as an investment adviser with the Securities and Exchange Commission. Edison US relies upon the "publishers' exclusion" from the definition of investment adviser under Section 202(a)(11) of the Investment Advisers Act of 1940 and corresponding state securities laws. As such, Edison does not offer or provide personalised advice. We publish information about companies in which we believe our readers may be interested and this information reflects our sincere opinions. The information that we provide or that is derived from our website is not intended to be, and should not be construed in any manner whatsoever as, personalised advice. Also, our website and the information provided by us should not be construed by any subscriber or prospective subscriber as Edison’s solicitation to effect, or attempt to effect, any transaction in a security. The research in this document is intended for New Zealand resident professional financial advisers or brokers (for use in their roles as financial advisers or brokers) and habitual investors who are “wholesale clients” for the purpose of the Financial Advisers Act 2008 (FAA) (as described in sections 5(c) (1)(a), (b) and (c) of the FAA). This is not a solicitation or inducement to buy, sell, subscribe, or underwrite any securities mentioned or in the topic of this document. This document is provided for information purposes only and should not be construed as an offer or solicitation for investment in any securities mentioned or in the topic of this document. A marketing communication under FCA Rules, this document has not been prepared in accordance with the legal requirements designed to promote the independence of investment research and is not subject to any prohibition on dealing ahead of the dissemination of investment research.
Edison has a restrictive policy relating to personal dealing. Edison Group does not conduct any investment business and, accordingly, does not itself hold any positions in the securities mentioned in this report. However, the respective directors, officers, employees and contractors of Edison may have a position in any or related securities mentioned in this report. Edison or its affiliates may perform services or solicit business from any of the companies mentioned in this report. The value of securities mentioned in this report can fall as well as rise and are subject to large and sudden swings. In addition it may be difficult or not possible to buy, sell or obtain accurate information about the value of securities mentioned in this report. Past performance is not necessarily a guide to future performance. Forward-looking information or statements in this report contain information that is based on assumptions, forecasts of future results, estimates of amounts not yet determinable, and therefore involve known and unknown risks, uncertainties and other factors which may cause the actual results, performance or achievements of their subject matter to be materially different from current expectations. For the purpose of the FAA, the content of this report is of a general nature, is intended as a source of general information only and is not intended to constitute a recommendation or opinion in relation to acquiring or disposing (including refraining from acquiring or disposing) of securities. The distribution of this document is not a “personalised service” and, to the extent that it contains any financial advice, is intended only as a “class service” provided by Edison within the meaning of the FAA (ie without taking into account the particular financial situation or goals of any person). As such, it should not be relied upon in making an investment decision. To the maximum extent permitted by law, Edison, its affiliates and contractors, and their respective directors, officers and employees will not be liable for any loss or damage arising as a result of reliance being placed on any of the information contained in this report and do not guarantee the returns on investments in the products discussed in this publication. FTSE International Limited (“FTSE”) © FTSE 2018. “FTSE®” is a trade mark of the London Stock Exchange Group companies and is used by FTSE International Limited under license. All rights in the FTSE indices and/or FTSE ratings vest in FTSE and/or its licensors. Neither FTSE nor its licensors accept any liability for any errors or omissions in the FTSE indices and/or FTSE ratings or underlying data. No further distribution of FTSE Data is permitted without FTSE’s express written consent

Frankfurt +49 (0)69 78 8076 960

Schumannstrasse 34b

60325 Frankfurt

Germany

London +44 (0)20 3077 5700

280 High Holborn

London, WC1V 7EE

United Kingdom

New York +1 646 653 7026

295 Madison Avenue, 18th Floor

10017, New York

US

Sydney +61 (0)2 8249 8342

Level 4, 95 Pitt Street

Sydney, NSW 2000

Australia

Frankfurt +49 (0)69 78 8076 960

Schumannstrasse 34b

60325 Frankfurt

Germany

London +44 (0)20 3077 5700

280 High Holborn

London, WC1V 7EE

United Kingdom

New York +1 646 653 7026

295 Madison Avenue, 18th Floor

10017, New York

US

Sydney +61 (0)2 8249 8342

Level 4, 95 Pitt Street

Sydney, NSW 2000

Australia

More on Kazia Therapeutics

View All

Latest from the Healthcare sector

View All Healthcare content

Research: Healthcare

Kazia Therapeutics — GDC-0084 and Cantrixil trials progressing

Kazia Therapeutics has commenced the Phase II programme for GDC-0084 in glioblastoma (GDC-0084 was in-licensed from Genentech in 2016). Initial data from the Phase IIa dose optimisation component are expected in H119, with a subsequent Phase IIb study expected to read out in 2021. The Phase I study of Cantrixil in ovarian cancer is in the final stages of determining the maximum tolerated dose (MTD). Our valuation range is unchanged at A$73m to A$133m (A$1.46–2.65 per share).

Continue Reading